Yordam
Bepul yuklab olish va ma’lumotlar platformasi

Saraton (lotincha: cancer — „qisqichbaqa“), deb hujayralarning atipik oʻsishiga aytiladi. Atipik oʻsish bunday hujayralar qarishi yoki jarohatlanishiga qaramay

Xavfli oʻsma

Saraton (lotincha: cancer — „qisqichbaqa“), deb hujayralarning atipik oʻsishiga aytiladi. Atipik oʻsish bunday hujayralar qarishi yoki jarohatlanishiga qaramay cheksiz koʻpayishi bilan ifodalanadi. Sogʻlom hujayradan farqli oʻlaroq, bunday hujayralarda tabiiy oʻlim holati oʻchirilgan, yaʼni ular toʻxtovsiz boʻlinish jarayonida boʻladi.

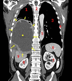
Kompyuter tomografiyasida koʻringan xavfli mezotelioma oʻsmasi.

Saraton mutatsiyaga uchragan hujayralarga qarab asosiy 4 guruhga boʻlinadi. Karsinoma — epitelial toʻqimalarda, sarkoma — mezenxemal toʻqimalarda, leykemiya — qon ishlab chiqaruvchi ilikda, limfoma va miyeloma — immunitet tizimi hujayralarida va bosh miya hujayralarida atipik rivojlanishni anglatadi. Tabiiyki saratonning „suyuq“ turlari oʻsma paydo qilmaydi.

Saraton badanda joylashishiga qarab ham tasniflanishi mumkin, yaʼni koʻkrak bezi saratoni, oʻpka saratoni va hokazo.

Tamaki iste'moli saraton kasalligida oʻlimning taxminan 22% sababchisi hisoblanadi. Shuningdek 10% semizlik, notoʻgʻri ovqatlanish, jismoniy faollikning yetishmasligi yoki spirtli ichimliklarni haddan tashqari isteʼmol qilish ham saraton kasaligiga olib keladi. Oʻziga xos viruslar, bakteriyalar va parazitlar bilan infeksiya butun dunyo boʻylab saraton kasalliklarining taxminan 16-18% ni keltirib chiqaradigan ekologik omil hisoblanadi. Yuqumli viruslarga Helicobacter pylori, gepatit B, gepatit C, inson papilloma virusi infektsiyasi, Epstein-Barr virusi, Inson T-limfotrop virusi , Kaposi sarkomasi bilan bogʻliq gerpes virusi va Merkel hujayrali polioma virus kiradi. Odamning immunitet tanqisligi virusi (OITV) toʻgʻridan-toʻgʻri saraton kasalligini keltirib chiqarmaydi, lekin u immunitet tanqisligini keltirib chiqaradi, bu boshqa infektsiyalar tufayli xavfni, baʼzan bir necha ming martagacha (Kaposi sarkomasi holatida) oshirishi mumkin. Muhimi, gepatit B va inson papilloma virusiga qarshi emlash saraton xavfini deyarli yoʻq qiladi. Atrof-muhit omillari, hujayra genlarini oʻzgartirishga harakat qiladi. Odatda, saraton rivojlanishidan oldin koʻplab genetik oʻzgarishlar yuzaga keladi. Saraton kasalliklarining taxminan 5-10% irsiy genetik nuqsonlarga bogʻliq. Saraton maʼlum belgilar va alomatlar yoki turli xil testlari orqali aniqlanishi mumkin. Keyinchalik tibbiy koʻrikdan oʻtkazish orqali qoʻshimcha tekshiriladi va biopsiya bilan tasdiqlanadi. Chekmaslik, sogʻlom vaznni saqlash, spirtli ichimliklarni isteʼmol qilishni cheklash, koʻp miqdorda sabzavot, mevalar va donli maxsulotlarni isteʼmol qilish, ayrim yuqumli kasalliklarga qarshi emlash, qayta ishlangan goʻsht isteʼmolini cheklash orqali ayrim saraton kasalliklarini rivojlanish xavfini kamaytirish mumkin. Koʻkrak bezi saratoni koʻpincha radiatsiya terapiyasi, jarrohlik, kimyoterapiya va maqsadli terapiyaning kombinatsiyasi bilan davolanadi. Ogʻriq va simptomlarni boshqarish parvarishning muhim qismidir. Palliativ yordam kasallik rivojlangan odamlarda muhim ahamiyatga ega. Omon qolish ehtimoli saraton turiga va davolanishning boshida kasallikning darajasiga bogʻliq. 15 yoshgacha boʻlgan bolalarda tashxis qoʻyilganda, rivojlangan dunyoda besh yillik omon qolish darajasi oʻrtacha 80% ni tashkil qiladi. Qoʻshma Shtatlardagi saraton kasalligi uchun oʻrtacha besh yillik omon qolish darajasi barcha yoshdagilar uchun 66% ni tashkil qiladi.

Yana qarang

  • Oʻsmalar

Adabiyotlar

  • Murodxoʻjayev N. K., Ocherki sovremennoy onkologii, Toshkent, 1998.

vikipediya, wiki, ensiklopediya, kitob, maqola, o‘qish, bepul yuklab olish, xavfli oʻsma haqida ma’lumot. xavfli oʻsma nima? xavfli oʻsma nimani anglatadi?

Yuqori